Diagnostik bei Verdacht auf Morbus Fabry

Wann sollten Fachärzt:innen an Morbus Fabry denken?

Es gibt keine „eindeutigen Morbus Fabry-Symptome“, allerdings sollten bestimmte Symptome, vor allem in Kombination, Ärzt:innen an Morbus Fabry denken lassen und einen Test der Enzymaktivität und ggf. eine genetische Analyse veranlassen:

  • Niereninsuffizienz unklarer Genese und Nierenversagen unklarer Ursache
  • Linksventrikuläre Hypertrophie (LVH) unklarer Genese
  • Schlaganfall oder transitorische ischämische Attacke (TIA) in jungen Jahren (vor dem 55. Lebensjahr)
  • Angiome und Angiokeratome
  • Schwitzstörungen, verminderte Fähigkeit oder Unfähigkeit zu schwitzen, (Hypohidrose und Anhidrose)
  • Frühe Todesfälle in der Verwandtschaft aufgrund von Nierenversagen oder Herzproblemen
  • Speichenförmige Hornhauttrübung (Cornea verticillata)

Wie stellt man Morbus Fabry fest?

Besteht ein Verdacht auf M. Fabry, muss diese mittels Labordiagnostik gesichert werden. Bei Männern ist die Messung der Alpha-Galaktosidase-A (α-GalA)-Enzymrestaktivität bzw. des Biomarkers Lyso-Gb3 ausreichend. Bei Frauen muss außerdem ein Gentest zur Analyse des GLA-Gens erfolgen.

Viele Patient:innen erhalten ihre Fabry-Diagnose erst nach jahrelanger Odyssee bei verschiedenen Fachärzt:innen, denn Morbus Fabry zeichnet sich durch sehr heterogene und unspezifische Symptome aus. Im Median liegt die Verzögerung von Symptombeginn bis Diagnosestellung immer noch bei über 10 Jahren.1 Dabei ist eine frühe Diagnose die Grundlage für einen rechtzeitigen Therapiebeginn, nur so können langfristig Organschäden minimiert werden.

Es stehen verschiedene Morbus Fabry-Tests zur Verfügung:

icon_fabry_big_blutplasma.svg

Direkte Messung der Enzymaktivität im Blutplasma

Hierzu wird Blut des Patienten auf Filterpapier getropft und getrocknet. Die fluorimetrische Messung kann bis zu 6 Monate später erfolgen, da das Enzym stabil ist.

icon_fabry_big_leukozyten.svg

Die Enzymatik in Leukozyten

anhand von EDTA-Blut liefert zuverlässige Ergebnisse.

icon_fabry_big_gb3.svg

Messung des Lyso-Gb3-Plasmawertes

Eine verminderte Aktivität der α-GAL A führt zu einem Anstieg des Globotriaosylsphingosinspiegels und hohen Lyso-Gb3-Werten. Normal ist ein Wert ≤ 0,6nmol/l.

Fallen diese Tests positiv aus, gilt eine Morbus Fabry-Diagnose als bestätigt, allerdings schließt ein negatives Testergebnis Morbus Fabry nicht aus. Während Männer mit klassischem Phänotyp (mit wenig bis keiner α-Gal-A-Aktivität) Lyso-Gb3-Normalwerte im Mittel um das 20-Fache übersteigen, haben Männer mit late-onset (mit residueller α-Gal-A-Aktivität) oft Werte nur knapp über den Normwerten. Frauen können sogar im Normalbereich liegen.3

Abklärung des Verdachts auf Morbus Fabry durch einen einfachen Labortest

Grafik "Morbus Fabry Verdacht"

Eine genetische Analyse des GLA-Gens dient zur Sicherung der Diagnose bei Männern und Frauen und umfasst zumeist eine Mutationsanalyse zur krankheitsauslösenden Mutation, die wiederum wichtige Information für die Wahl der optimalen Therapie liefert.

Wer testet auf Morbus Fabry?

Da die Fabry-Erkrankung multiple Organsysteme betrifft und der Trockenbluttest sehr unkompliziert durchzuführen ist, können Ärzt:innen ganz verschiedene Fachdisziplinen die Verdachtsdiagnose stellen und testen. Je nach Alter des/der Patient:in können es Kinderärzt:innen, aber auch Kardiolog:innen, Neurolog:innen und Nephrolog:innen oder Hausärzt:innen sein.

Nicht selten sind es auch Ophthalmolog:innen, denen bei einer Spaltlampenuntersuchung eine Cornea verticillata auffällt und die daraufhin die Verdachtsdiagnose Morbus Fabry stellen. Bei der Spaltlampenuntersuchung wird durch die Beleuchtung mit einem gebündelten schmalen Lichtspalt ein optischer Schnitt des Auges erzeugt, den der/die Ophthalmolog:in durch ein Mikroskop einsehen kann. Eine Cornea verticillata, speichenförmige Einlagerungen in der Hornhaut, ist nach Ausschluss medikamentöser Ursachen (in Frage kommen zum Beispiel Amiodaron, Indometacin, Chloroquin, Hydroxychloroquin oder Tamoxifen) ein starker Indikator für einen Morbus Fabry. Zumeist ist es aber die Häufung relativ unabhängig wirkender Symptome, die den Verdacht auf eine seltene systemische Erkrankung wecken.

Wichtige Differential- und häufige Fehldiagnosen

Die Diagnose eines Morbus Fabry stellt für Ärzt:innen eine erhebliche Herausforderung dar. Die Erkrankung ist nicht nur selten, darüber hinaus sind die Symptome unspezifisch und betreffen viele Organsysteme. Gewissheit kann ein Trockenbluttest bringen, eventuell ist aber auch ein Enzymtest oder eine gentechnische Analyse im Labor notwendig.

Aufgrund der schwierigen Fabry-Diagnostik sind Fehldiagnosen leider häufig, dazu gehören: Multiple Sklerose, Wachstumsschmerzen, unklare Polyneuropathie oder rheumatische Erkrankungen. Nach einer bestätigten Diagnose ist die Überweisung an ein spezialisiertes Morbus Fabry-Kompetenzzentrum angezeigt, um eine umfassende Fabry-Diagnostik und einen frühzeitigen Therapiebeginn zu ermöglichen.

Fehldiagnosen bei Morbus Fabry: ein breites Spektrum

Grafik des Anteiles von Fehldiagnosen

Abb. modifiziert nach METHA, A. et al. 2004

Fehldiagnose: Multiple Sklerose

Die Symptome von Morbus Fabry führen häufig zu Fehldiagnosen, oft wird der Zusammenhang zwischen isoliert erscheinenden Symptomen nicht erkannt oder eine neuropsychologische Erkrankung vermutet. Differenzialdiagnostisch müssen vor allem entzündliche Erkrankungen wie Multiple Sklerose, rheumatische Erkrankungen und bei Kindern Wachstumsschmerzen ausgeschlossen werden.

In einer Multicenter-Studie hatten 25% der Patient:innen vor ihrer Morbus Fabry-Diagnose mindestens eine Fehldiagnose4:

  • Multiple Sklerose ist die häufigste Fehldiagnose, insbesondere wenn neurologische Symptome im Vordergrund stehen.5,6,7
Diagnostik, Symptome Morbus Fabry Multiple Sklerose
Schubweise auftretende neurologische Symptome - +
Funktionsstörungen + +
Lumbalpunktion + +
Pleozytose (fakultativ) + +
Oligoklonale Banden* - +
MRZ-Reaktion positiv** - +
Andere DD ausgeschlossen + +
Evozierte Potentiale mit verlängerten Latenzen (MEP, SEP, VEP) - +
Kraniales MRT + +
Spinales MRT - +
KM-Aufnahme örtlicher und zeitlicher Dissemination - +
Typische Verteilungsmuster der Entmarkungsherde (Bestandteil diagnostischer Kriterien) - +

MEP: Magnetisch evozierte Potentiale. MRZ: Masern, Roteln, Zoster. MRT: Magnetresonanztomographie. SEP: Somatosensorisch evozierte Potentiale. VEP: Visuell evozierte Potenziale.

*Sensitivität: 95–100%, **Sensitivität: 90%

Abbildung eines Gehirns

Weitere Fehldiagnosen

Mit freundlicher Genehmigung von Prof. Dr. Arndt Rolfs, Universität Rostock

  • White Matter Lesions, also Schädigungen der weißen Hirnsubstanz, und damit einhergehende Funktionseinschränkungen treten bei beiden Erkrankungen auf.
  • Zöliakie muss bei vorrangig gastrointestinalem Phänotyp ausgeschlossen werden.
  • Polyneuropathien werden zwar erkannt, aber die Ursache bleibt oft unklar. 
  • Bei Kindern und Erwachsenen werden häufig Erkrankungen aus dem rheumatischen Formenkreis diagnostiziert.
  • Bei Kindern werden die typischen neuropathischen Schmerzen immer wieder als Wachstumsschmerzen abgetan.

Welche Eingangsuntersuchungen sind bei einer Fabry-Diagnose angezeigt?

Morbus Fabry betrifft zahlreiche Organsysteme und Organschädigungen können bereits pränatal auftreten. Deswegen ist eine initiale Diagnostik der einzelnen Fachdisziplinen zur Bestimmung des Stadiums der Erkrankung und ein therapiebegleitendes koordiniertes Monitoring notwendig.

Im Rahmen der Diagnosestellung erfolgen in der Regel auch Standarduntersuchungen von Fachärzt:innen der Bereiche Kardiologie, Neurologie, Nephrologie, sowie der Augen und Ohren, des Gastrointestinaltraktes, der Haut sowie Befragungen zu Schmerzen und der Lebensqualität.

Kardiologischen Untersuchungsverfahren

Zu den kardiologischen Untersuchungsverfahren zählen bildgebende Verfahren wie die Elektrokardiographie (EKG), die Echokardiographie (Echo) und die Magnetresonanztomographie (Kardio-MRT mit Late Enhancement Imaging).

Typisch bei Morbus Fabry ist eine linksventrikuläre Hypertrophie zumeist ohne Hypertonie, ein prominenter Papillarmuskel und eine gestörte Klappenfunktion. Im EKG zeigt sich oft eine verkürzte PQ-Zeit und eine T-Wellen-Inversion.8

Bild einer MRT Untersuchung
Bild eines MRT

Typische Echokardiographie eines Morbus Fabry-Patienten (links), Magnetresonanztomographie mit Late-Enhancement-Technik zur Darstellung einer myokardialen „Replacement-Fibrose“ (rechts)
Mit freundlicher Genehmigung von Prof. Dr. Frank Weidemann, Recklinghausen

Neurologische Untersuchungen

Neurologisch Untersuchungen unterteilen sich in bildgebende Verfahren wie die Magnetresonanztomographie (MRT) und Fragebögen insbesondere zu Schmerzen und der Lebensqualität. Hinzu kommt die Vorgeschichte der/des Patient:in, denn Schlafanfälle und transitorische ischämische Attacken (TIA) in jungem Alter (unter 55 Jahren) sind ein starker Hinweis auf Morbus Fabry.

Typische MRT-Befunde sind White Matter Lesions, Schädigungen der weißen Hirnsubstanz und Pulvinar-Zeichen, die sich als Hyperintensität unter T1-Wichtung darstellen. Fabry-Patienten leben oft dauerhaft mit Schmerzen unterschiedlicher Qualität, Intensität und Lokalisierung, dies kann durch standardisierte Fragebögen, z. B. den SF-36, dokumentiert werden.

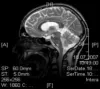
MRT, T1

mrt_01

Bilaterale Signalerhöhung im posterioren Thalamus (“Pulvinar-Zeichen”)

MRT TOF

mrt_02

1. erweiterete A. basilaris
2. A. cerebri anterior
3. A. carotis interna geschlängelte und dilatierte Blutgefäße

MRT, FLAIR

mrt_03

1. Hirninfarkt cerebri media rechts
2. WML linke Hemispähre


Mit freundlicher Genehmigung von Prof. Dr. Arndt Rolfs, Universität Rostock

Nephrologische Parameter

Nephrologische Parameter sind die Bestimmung des Kreatinins, der Kreatinin-Clearance, der glomerulären Filtrationsrate (GFR) und der Nachweis von Eiweißen im Urin (Mikroalbuminurie bzw. Proteinurie). Nierenbiopsien werden nur empfohlen, wenn der Verdacht besteht, dass es zusätzlich zur Morbus Fabry eine zweite renale Erkrankung vorliegt.

Augen und Ohren

Spaltlampenuntersuchungen zur Diagnose von Cornea verticillata, Tortuositas vasorum und Fabry-Katarakten werden empfohlen. Eine HNO-ärztliche Abklärung kann Hörminderungen, Tinnitus und Störungen im Vestibularapparat aufdecken.

Gastrointestinale Untersuchungen

Gastrointestinale Untersuchungen sind Standarduntersuchungen bei abdominellen Beschwerden und werden nach Bedarf durchgeführt. Infrage kommen ein transabdomineller Ultraschall, eine Gastroskopie oder eine Koloskopie.

Welche Untersuchungen werden zur Verlaufskontrolle eingesetzt?

Mit einer adäquaten Therapie kann die Progression der Krankheitsmanifestationen verlangsamt oder sogar verhindert werden. Interdisziplinäre Follow-up-Untersuchungen erfolgen daher standardmäßig alle 12 Monate, auch um die Frage nach notwendigen Therapieanpassungen zu klären.

Da kardiologische, neurologische und nephrologische Fabry-Symptome entscheidende Auswirkungen auf Lebensqualität und Morbidität/Mortalität haben, sollte jährlich ein Follow-up dieser Fachbereiche erfolgen. Andere Spezialisten sollten alle 2 Jahre oder bei Neuauftreten von Symptomen oder Progression jährlich einbezogen werden. Der jährliche Check-up ist sinnvoll, um die Progression zu verfolgen, den Therapieerfolg zu messen und ggf. die Therapie zu optimieren.

icon_fabry_big_laboruntersuchung.svg

Labordiagnostisch

Labordiagnostisch kann der Biomarker Lyso-Gb3 als Erfolgskontrolle für die Therapie verwendet werden.9

icon_fabry_big_herz

Kardiologisch

Die Eingangsuntersuchungen sollten bei Vorliegen kardiologischer Symptome jährlich, ohne Befunde alle 2 Jahre wiederholt werden.

icon_fabry_big_nervenzelle.svg

Neurologisch

Neurologische Untersuchungen bei der Diagnosestellung sollten alle 2 Jahre wiederholt werden, falls sie ohne Befund waren. Bei neuauftretenden Symptomen oder Progression ist eine Wiederholung jährlich angezeigt. Dies gilt auch für die Schmerzanamnese und Fragenbögen zur Lebensqualität.

icon_fabry_big_niere.svg

Nephrologisch

Die Eingangsuntersuchungen sollten regelmäßig wiederholt werden. Dazu gehören die Bestimmung des Kreatininwertes, die Kreatinin-Clearance, die glomeruläre Filtrationsrate und die Eiweißausscheidungen im Urin. Sollte sich trotz Therapie eine Progredienz zeigen, kann eine Nierenbiopsie erwogen werden.

Warum ist eine Stammbaumanalyse bei Morbus Fabry angebracht?

Als X-chromosomale Erbkrankheit sind in jeder Familie meistens mehrere Personen betroffen. Durch eine Stammbaumanalyse können nicht-diagnostizierte Familienmitglieder identifiziert werden, selbst wenn sie keine oder nur geringe Fabry-Symptome zeigen.

Eine frühe Diagnose ist bei Morbus Fabry essenziell, denn einmal entstandene Organschäden sind therapeutisch nicht oder kaum reversibel. Deswegen gibt es Bestrebungen, neonatale Screening-Programme für Morbus Fabry und andere seltene Erkrankungen zu etablieren, um möglichst frühzeitig eine adäquate Therapie einleiten zu können. Morbus Fabry ist bereits pränatal aus Chorionzotten nachweisbar.10

Zur Diagnosestellung kann eine sorgfältige Familienanamnese hilfreich sein. Oft lassen sich Indizien für Fabry in der Verwandtschaft finden (z. B. Nierenversagen oder ein früher Herzinfarkt), die einen Bluttest zur Diagnosesicherung von Morbus Fabry rechtfertigen.

Das Gen für das bei Morbus Fabry betroffene Enzym alpha-Galaktosidase A liegt auf dem X-Chromosom, von dem Frauen zwei, Männer aber nur eines besitzen. Damit vererbt ein erkrankter Vater an alle seine Töchter ein geschädigtes X-Chromosom, an seine Söhne dagegen immer ein gesundes Y-Chromosom. Heterozygote Frauen, also Frauen mit einem geschädigten und einem gesunden X-Chromosom, geben an alle ihre Kinder unabhängig vom Geschlecht ein geschädigtes X-Chromosom mit einer Wahrscheinlichkeit von 50% weiter.

Über einen Mann mit Morbus Fabry kann man Folgendes sagen: Seine Mutter ist Trägerin der Erkrankung, ihre Symptome können von subklinisch bis zu klassischen Morbus Fabry-Symptomen reichen. Seine Geschwister haben mit 50%-iger Wahrscheinlichkeit ebenfalls Fabry (falls sein Vater nicht ebenfalls erkrankt ist).

Quellen
  1. REISIN, R. et al. Int J Clin Pract. 2017; 71.
  2. GERMAIN, D.R. Orphanet J Rare Dis. 2010; 5.30.
  3. SMID, B.E. et al. J Med Genet. 2015; 52.262–268.
  4. MEHTA A. et al. Eur J Clin Invest. 2004. 34. 236–242.
  5. BÖTTCHER, T et al. PLOS ONE. 2013 ; 8.e71894.
  6. REIBER, H. et al. Mult Scler. 1998; 4(3).111–117.
  7. HOFFMANN, B. & MAYATEPEK, E. Dtsch Arztebl INT. 2009; 106826.440–447.
  8. NAMDAR, M. et al. Heart. 2011; 97.485–490.
  9. NOWAK, A. et al. Mol Genet Metab. 2017; 120.57–61.
  10. DESNICK, R.J. Prenat Diagn. 2007; 27.693-694.
Takeda Connect
Jetzt registrieren
takeda connect

24/7 verfügbar

Diese Inhalte sind zum Teil geschützt und können nur von medizinischen Fachkreisen nach Heilmittelgewerbegesetz §10 eingesehen werden. Bitte melden Sie sich an oder erstellen Sie einen neuen Account.
Sie haben noch keinen Zugang?

  • Ihr persönlicher Account - Direkter Kontakt, Medizinische Anfragen und Produktinformationen
  • Weltweiter Zugang zu klinischen Takeda Studien
  • Eventkalender und interessante Veranstaltungen
  • Praxis- & Patientenmaterial Bestellungen, einfach, kostenios und indikationsübergreifend im Webshop
  • Mit Ihrer Online-Bibliothek - Persönliche Dokumente und Links ablegen und jederzeit griffbereit behalten
  • Nebenwirkungsmeidungen / Produktmangel schnell, einfach und Formular-gestützt melden